CD35抗体试剂
CD35抗体试剂
产品描述
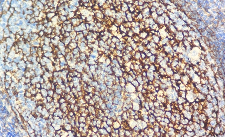
CD35(补体受体1/CR1)是一种介导补体调理化免疫复合物处理与清除的关键受体,又称C3b/C4b受体或免疫黏附受体。在生理状态下,红细胞表面CD35分子数量随细胞老化逐渐减少;而在系统性红斑狼疮(SLE)、HIV感染、部分溶血性贫血等免疫复合物相关疾病中,其表达水平显著降低。CD35抗体作为成熟B细胞标志物,可特异性标记滤泡树突状网状细胞及其来源的肿瘤(如滤泡树突细胞肉瘤)。该抗原表达于红细胞、B细胞、T细胞亚群、单核细胞以及嗜酸性粒细胞和中性粒细胞表面,在免疫微环境调控及抗原提呈过程中发挥重要作用。
参考文献
产品信息
备案名称:
CD35抗体试剂
备案证号:
粤深械备20221613
产品型号:
DMRD0181
适用:
石蜡切片
阳性部位:
细胞膜
预 处 理:
EDTA 热修复
产品规格
| 类型 | 即用型 | 浓缩型 | ||||
| 规格 | 1ml | 3ml | 6ml | 10ml | 0.1ml | 0.2ml |
